cardiac muscle tissue anatomy

ANAT2511 Circulatory System - Embryology we have 9 Pictures about ANAT2511 Circulatory System - Embryology like Muscle Tissue and Motion · Anatomy and Physiology, ANAT2511 Muscle Tissue - Embryology and also Muscle fiber, Skeletal muscle, and Contraction [USMLE] - YouTube. Here it is:

ANAT2511 Circulatory System - Embryology

ANAT2511 Circulatory System - Embryology embryology.med.unsw.edu.au

histology vein blood vessel vena cava muscle smooth tissue artery veins cell arteries system connective valves subendothelial embryology tunica intima

MUSCULAR SYSTEM ANATOMY:Muscle Fiber With Sarcomere Model Description

MUSCULAR SYSTEM ANATOMY:Muscle fiber with sarcomere model description www.youtube.com

muscle sarcomere fiber anatomy muscular system tubules sarcolemma physiology sarcoplasmic sarcoplasm myofibrils transverse muscles

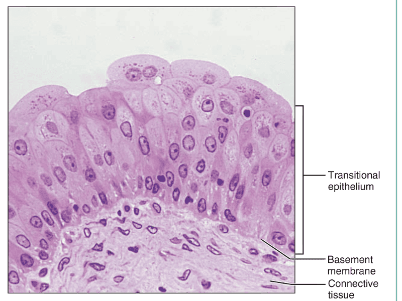
Anatomy Midterm 2 Flashcards | Easy Notecards

Anatomy Midterm 2 Flashcards | Easy Notecards www.easynotecards.com

epithelium transitional anatomy midterm easynotecards

Human Anatomy Lab Exercises Tissues Recognition And Function Flashcards

Human Anatomy Lab Exercises Tissues Recognition and Function Flashcards www.easynotecards.com

muscle skeletal tissue histology tissues labeled microscope smooth muscles human anatomy slides normal biology medical physiology cardiac muscular study tejido

Muscle Tissue And Motion · Anatomy And Physiology

Muscle Tissue and Motion · Anatomy and Physiology philschatz.com

muscle tissue skeletal smooth cardiac anatomy visible tissues microscope cells cell single three branched motion learn each

Histology - Muscle Tissue - 2 - Skeletal Muscle (continued)

Histology - Muscle Tissue - 2 - Skeletal Muscle (continued) www.lab.anhb.uwa.edu.au

muscle skeletal 40x section histology tissue cell transverse nuclei

ANAT2511 Muscle Tissue - Embryology

ANAT2511 Muscle Tissue - Embryology embryology.med.unsw.edu.au

sarcomere muscle animation histology skeletal cardiac band actin myosin embryology zone disc tissue within

Slide 34 - Skeletal Muscle - YouTube

Slide 34 - Skeletal Muscle - YouTube www.youtube.com

muscle skeletal slide

Muscle Fiber, Skeletal Muscle, And Contraction [USMLE] - YouTube

Muscle fiber, Skeletal muscle, and Contraction [USMLE] - YouTube www.youtube.com

muscle skeletal fiber contraction

Anat2511 muscle tissue. Muscular system anatomy:muscle fiber with sarcomere model description. Muscle sarcomere fiber anatomy muscular system tubules sarcolemma physiology sarcoplasmic sarcoplasm myofibrils transverse muscles