abducens nerve anatomy radiology
Differential diagnosis in lateral rectus palsy we have 8 Pictures about Differential diagnosis in lateral rectus palsy like Abducens Nerve | Radiology Key, Abducens nerve palsy | Radiology Reference Article | Radiopaedia.org and also Dr Balaji Anvekar FRCR: Cranial Nerves MRI Planning Protocol. Here you go:
Differential Diagnosis In Lateral Rectus Palsy
palsy rectus lateral dorello abducens differential nerve
Dr Balaji Anvekar FRCR: Cranial Nerves MRI Planning Protocol
mri anatomy nerve cranial nerves normal vagus cn 9th 10th protocol facial anvekar balaji frcr dr related cn9 planning
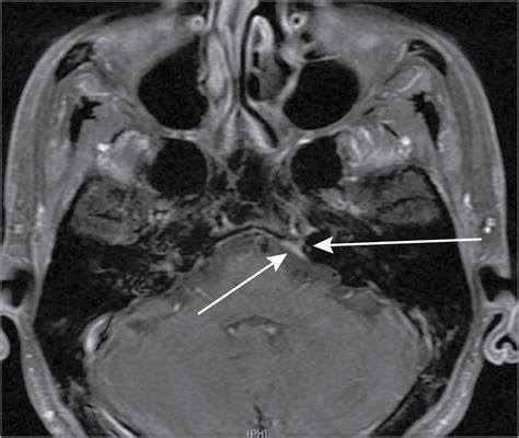
Abducens Nerve | Radiology Key
nerve abducens cavernous sinus radiologykey
Abducens Nerve Palsy | Radiology Reference Article | Radiopaedia.org
abducens palsy radiopaedia
The Dorello Canal: Historical Development, Controversies In
canal anatomy controversies microsurgical clinical implications historical development neurosurgery neurosurg e4 focus
A Common Cause Of Cranial Nerve VI Palsy—Hidden In Plain Sight: A
nerve cranial palsy
How Effective Is MRI In Allowing The Visualisation Of The Cranial
nerves cranial mri nerve imaging 7th planning facial anatomy fiesta protocol palsy abducens cn visualisation allowing effective provided examples such
Dr Balaji Anvekar FRCR: Cranial Nerves MRI Planning Protocol
mri cranial nerves anatomy nerve hypoglossal planning protocol plan anvekar balaji frcr dr normal related
Dr balaji anvekar frcr: cranial nerves mri planning protocol. Mri cranial nerves anatomy nerve hypoglossal planning protocol plan anvekar balaji frcr dr normal related. A common cause of cranial nerve vi palsy—hidden in plain sight: a
